
AKO CUKROVKA OVPLYVŇUJE OČI?
Cukrovka môže viesť k viacerým očným problémom, z ktorých najvýznamnejšie sú:
Diabetická retinopatia: Vysoká hladina cukru v krvi môže poškodiť cievy v sietnici, čo môže viesť k ich poškodeniu a následnému úniku krvi. To môže viesť k opuchom a tvorbe jaziev, čo vážne ovplyvňuje kvalitu videnia. Diabetická retinopatia, postihuje približne 22% diabetikov a patrí medzi najčastejšie príčiny slepoty vo svete.

Diabetický makulárny edém: Ide o opuch v centrálnej časti sietnice (makuly), ktorá je zodpovedná za ostré videnie. Tento stav je priamym dôsledkom diabetickej retinopatie a môže výrazne zhoršiť videnie.

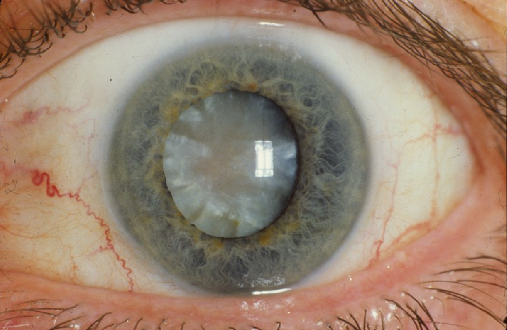
Katarakta (sivý zákal): Ľudia s cukrovkou majú až dva až päťkrát vyššiu pravdepodobnosť vzniku katarakty, čo je zakalenie šošovky oka. Katarakta spôsobuje rozmazané videnie a môže viesť k slepote, ak sa nelieči.

Glaukóm (zelený zákal): Cukrovka zvyšuje riziko vzniku glaukómu, čo je ochorenie spôsobené zvýšeným tlakom vo vnútri oka, ktoré môže poškodiť zrakový nerv a viesť k strate zraku.

PRÍZNAKY, KTORÉ BY STE AKO DIABETIK NEMALI IGNOROVAŤ
Ak máte cukrovku, je dôležité venovať pozornosť akýmkoľvek zmenám vo vašom videní. Medzi príznaky, ktoré môžu naznačovať problémy so zrakom, patria:
- Rozmazané alebo „zvlnené“ videnie
- Často sa meniace videnie – zo dňa na deň
- „Tmavé oblasti“ vo videní alebo náhle straty zraku
- Bolesti očí alebo tlak v očiach
- Zlé farebné videnie
- Záblesky svetla
Ak spozorujete niektorý z týchto príznakov, odporúčame vyhľadať očného lekára. Včasná diagnostika a liečba môžu výrazne znížiť riziko vážneho poškodenia zraku.
AKO NA PREVENCIU U DIABETIKOV?

Prevencia je kľúčom k udržaniu zdravých očí, najmä ak máte cukrovku. Tu sú niektoré kroky, ktoré môžete podniknúť:
Kontrola hladiny cukru v krvi: Udržiavanie stabilnej hladiny cukru v krvi je najdôležitejším krokom pri prevencii komplikácií spojených s cukrovkou, vrátane očných problémov.
Pravidelné očné prehliadky: Ľudia s cukrovkou by mali absolvovať očné prehliadky aspoň raz do roka. Očný lekár môže včas identifikovať príznaky diabetickej retinopatie a iných očných problémov.
Krvný tlak a cholesterol: Udržiavanie zdravého krvného tlaku a hladiny cholesterolu môže tiež pomôcť znížiť riziko očných komplikácií.
Zdravý životný štýl: Strava bohatá na zeleninu, ovocie a celozrnné produkty, pravidelná fyzická aktivita a nefajčenie môžu výrazne prispieť k udržaniu zdravých očí.
Cukrovka je závažné ochorenie, ktoré môže mať vážne následky pre vaše oči. Informovanosť o rizikách a príznakoch, ako aj dodržiavanie preventívnych opatrení, sú kľúčové pre zachovanie dobrého zraku. Nezabúdajte na pravidelné očné prehliadky a starajte sa o svoje zdravie, aby ste mohli viesť plnohodnotný a kvalitný život.
Chráňte svoj zrak skôr, než sa objavia komplikácie. Pravidelná očná prehliadka dokáže včas odhaliť zmeny spôsobené cukrovkou a pomôcť predísť vážnym následkom. Doprajte svojim očiam odbornú starostlivosť..
+421 850 850 811